2026-03-12
分享
| 个人简介
中西医结合视野下的基因整合肿瘤学探索者
——对话广州现代肿瘤医院国际诊疗微创专家
在广州现代肿瘤医院的专家团队中,黄作平教授的身份标签需要双重解码——他是一位拥有三十年临床经验的资深肿瘤专家,也是一位始终关注基因技术与精准医学前沿的医学博士;他接受的是系统而严谨的西医体系训练,却在长期临床实践中深刻体会到中医药的独特价值;他在学术上的重要方向是“基因芯片数据整合治疗”,而实现这一精准治疗的底层逻辑,却是中西医两种医学体系的深度融合。
医学博士、副主任医师、广州抗癌协会肿瘤微创治疗专业委员会常务委员——这些学术头衔的背后,是一个始终在寻找“更优治疗方案”的临床医生。当多数人还在讨论中西医能否结合时,黄作平教授已经在三十余年的临床实践中已经逐渐形成了自己的答案:以基因为桥梁,在中西医结合框架下实施动态整合治疗。

(黄作平教授)
黄作平教授的从医动机并非偶然。幼年体弱多病、求医艰难的经历,让他较早体会到医疗资源不足所带来的无助感。那段记忆成为其职业选择的重要起点。
完成系统的西医教育并取得医学博士学位后,他长期深耕恶性肿瘤临床诊疗领域,专注高发实体瘤的综合治疗,包括鼻咽癌、肺癌、宫颈癌、乳腺癌、结直肠癌、食管癌及肝癌等。
但真正的职业转折,发生在理念层面。在传统化疗主导的年代,治疗方案更多依据分期与病理类型制定。然而临床实践中,他逐渐意识到:同一种癌种、同一分期的患者,疗效差异可能极大。

这一认识促使他开始关注基因检测技术的临床应用。随着基因芯片与下一代测序技术成熟,他将基因表达谱纳入常规评估体系,逐步建立起以基因为基础的个体化治疗路径:
• 通过基因检测识别驱动突变及潜在耐药信号
• 根据分子特征选择靶向或免疫治疗方案
• 在治疗不同阶段重复评估肿瘤变化,调整策略
• 结合影像、病理与临床症状进行多维判断
他强调,精准治疗不是一次检测后“固定方案”,而是持续监测与修正的过程。
二、基因时代的中西医结合:当精准医学遇上传统智慧
真正让黄作平教授开始深入思考中西医结合的,是那些西医难以解决的临床问题。患在肿瘤治疗过程中,一些患者会出现明显的疲乏、畏寒、怕热、出汗异常等症状。这些问题往往难以通过西医药物得到有效改善,却会明显影响患者的生活质量与治疗依从性,而中医几剂中药便能让患者气血调和、身体好转。这种立竿见影的效果,让黄作平教授意识到:西医解决的是“病”的问题,中医解决的是“人”的问题。两者不是替代,而是互补。
“真正完整的肿瘤治疗,应当是中西医结合的整合医学模式。”这句话,成为他三十年临床实践的核心信条。
将中西医结合推向新深度的,是基因技术的介入。当基因检测揭示肿瘤的分子密码,黄作平教授敏锐意识到:基因技术可能成为连接中西医的桥梁。他逐步将基因芯片数据分析纳入临床决策核心流程,而其“基因导向治疗”从一开始便带着中西医结合的烙印——在他看来,基因检测揭示的不仅是肿瘤分子分型,更是中医“辨证”在微观层面的延伸。
“中医讲阴阳虚实、个体差异、动态调整。基因检测告诉你的,恰恰是肿瘤的‘个性化特征’和‘动态变化’。两者底层逻辑相通——都反对一刀切,都强调因人而异、因时而异。”
这一认知构成其学术思想核心:以基因芯片数据为“精准辨证”依据,以中西医结合为“整合治疗”手段。
三、肿瘤异质性与动态治疗:中西医结合的深层逻辑
为什么肿瘤治疗需要动态调整?关键在于肿瘤本身具有明显的异质性。
这一认知,在黄作平教授攻读博士期间便已萌芽。他遇到过多例在治疗过程中发生病理类型转化的病例——卵巢癌从腺癌转化为未分化小细胞癌,小细胞肺癌在某些阶段呈现腺癌特征。
“这些不是个案,而是肿瘤生物学的普遍现象。它告诉我们,治疗必须动态调整。”

(黄作平教授查房)
而动态调整,恰恰是中医思维的长项。中医讲究“随证治之”,根据病情变化调整方剂;西医则习惯于“按方案治疗”。两者的结合形成互补——西医提供精准的初始打击,中医负责持续的动态调适;基因检测捕捉肿瘤的每一次“变异”,中医药应对患者的每一次“证变”。黄作平教授提到,近年来国际研究中提出关于“肿瘤休眠细胞”的概念进一步印证了这一观点。部分肿瘤细胞在治疗后进入休眠状态,在常规检测中难以发现,却可能在时机成熟时“苏醒”导致复发。这些休眠细胞,只有通过基因检测的持续追踪才能捕捉到。而一旦捕捉到,中医药在“扶正固本”“改善微环境”方面的独特优势,恰恰可以派上用场。
四、从学术洞察到临床实证:卵巢癌案例的启示
肿瘤的动态演变规律,不仅是黄作平教授研究的重要方向,也在临床实践中得到不断验证。他在国内外权威期刊发表多篇论文,其中多篇被SCI收录。这些研究共同关注一个核心问题:肿瘤在治疗过程中会发生基因和细胞层面的变化。

(Radioactive 125I Seed Inhibits the Cell Growth, Migration, and Invasion of Nasopharyngeal Carcinoma by Triggering DNA Damage and Inactivating VEGF-A/ERK Signaling)

(Californium-252 Neutron Brachytherapy Combined with External Pelvic Radiotherapy Plus Concurrent Chemotherapy for Cervical Cancer: A Retrospective Clinical Study)


(Ovarian Cancer Transformation from Adenocarcinoma to Undifferentiated Small Cell Carcinoma: A Case Report)
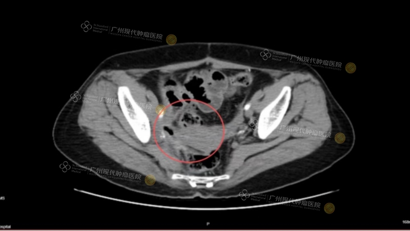
黄作平教授曾参与治疗一位卵巢癌Ⅳ期患者,入院时患者已出现腹腔广泛转移,侵犯肠管,经多线治疗后效果不佳。黄作平团队为其进行基因检测,发现可靶向突变位点,并经过MDT会诊后,治疗策略由此确定:西医采用介入化疗联合靶向治疗,同时配合中医调理改善体质。经治疗后,该患者肿瘤标志物下降,影像学显示肿瘤明显缩小;患者体力恢复,能够正常进食,生活质量大幅提升。

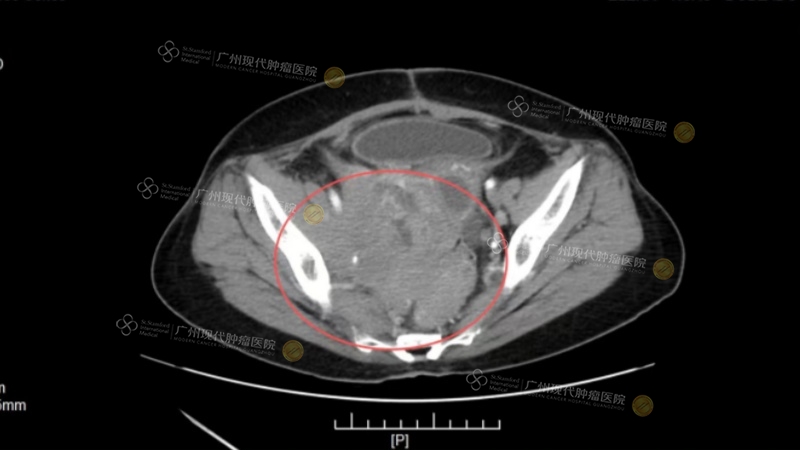
(治疗前CT)

“如果没有基因检测,我们很难找到精准的治疗靶点;如果没有中医调理,患者难以耐受全程治疗。基因检测告诉我们打哪里,靶向药物维持长期控制,中医负责全程调护——这就是中西医结合在基因时代的真正内涵。”
黄作平教授不仅深耕临床,更致力于国际学术交流。在2025年广州东盟整合肿瘤医学大会上,他代表广州现代肿瘤医院发表主旨演讲,将中西医结合与基因导向整合治疗的中国经验带给东南亚同行。通过分享我院的临床实践,他希望将这些经过验证的中国方案传递给更多国家和地区的患者。

(黄作平教授在东盟整合肿瘤医学大会发表主旨演讲)
“东南亚有大量华人,中医药文化背景深厚,对中西医结合的接受度天然较高。”但他同时也保持审慎——人种差异、医疗体系差异、数据积累的不足,意味着任何模式的输出都需要本地化验证。“这需要基础研究,需要数据支撑,不能简单复制。”
(黄作平教授荣获表彰)
在他看来,中国在肿瘤治疗领域的独特优势,恰恰在于“中西医并重”的制度设计与“精准医学”的技术积累所形成的叠加效应。这种优势,不仅属于中国患者,也应该惠及更多国家和地区。“广州现代肿瘤医院是一个国际化医院,在东南亚影响力深厚。我们有责任把这种成熟的治疗模式传播出去,让更多患者受益。”
黄作平教授的治疗哲学可以概括为:西医提供精准干预的手段,中医负责内环境的调节,基因技术则成为连接两者的桥梁。这一模式通过基因检测实现精准辨证,通过整合治疗达到动态平衡。这不仅是他的学术标签,更是他三十年临床实践的经验总结。
而这个答案,正在广州现代肿瘤医院的临床实践中不断得到验证,转化为更多患者生命的转机。
| 专家文论:
Californium-252 Neutron Brachytherapy Combined with External Pelvic Radiotherapy Plus Concurrent Chemotherapy for Cervical Cancer: A Retrospective Clinical Study
作者:Shen Qian, Ling Ye, Yunhong Tian, Ligen Wang, Zuoping Huang, Feng Li, Bing Hou, Ni Song, Juan Chen, Ying Liu, Xiao Liu, and Tao Zhou
来源:Chinese journal of cancer, 36(1), 24
【摘要】目的 回顾性评估锎-252中子近距离放疗联合外照射放疗及同步化疗治疗宫颈癌的长期疗效和安全性。结论 中子近距离放疗联合外照射及同步化疗治疗宫颈癌能够快速控制症状,显著提高局部控制率和长期生存率,且不良反应可耐受,是一种有效的治疗模式。癌症分期、肿瘤大小和淋巴结转移是重要的预后因素,其中淋巴结转移是独立预后因素。
Ovarian Cancer Transformation from Adenocarcinoma to Undifferentiated Small Cell Carcinoma: A Case Report
作者:Zuo Ping Huang, Xing Jing Liu, Bin Xin Zou, Qian Shen, Ying Liu, and Tao Zhou
来源:Oncology Letters, 9(5), 2230-2232.
【摘要】目的 探讨肿瘤干细胞在卵巢癌组织学改变中的作用,并强调在治疗过程中通过重复活检评估病情的重要性。结论 在卵巢肿瘤中观察到的任何组织学改变均起源于肿瘤干细胞,且凸显了在卵巢癌整个治疗过程中通过肿瘤活检反复评估治疗方案的重要性。
Radioactive 125I Seed Inhibits the Cell Growth, Migration, and Invasion of Nasopharyngeal Carcinoma by Triggering DNA Damage and Inactivating VEGF-A/ERK Signaling
作者:Yunhong Tian, Qiang Xie, Yunming Tian, Ying Liu, Zuoping Huang, Cundong Fan, Bing Hou, Dan Sun, Kaitai Yao ,Tianfeng Chen
来源:PLoS One, 8(9), e74038.
【摘要】目的 探讨放射性125I粒子植入对比传统X射线照射对鼻咽癌细胞的抑制作用及其潜在分子机制,评估其通过诱导DNA损伤和调控VEGF-A/ERK信号通路对细胞增殖和迁移的影响。结论 放射性125I粒子通过诱导DNA损伤和细胞凋亡,以及抑制VEGF-A/ERK信号通路介导的细胞迁移,比X射线照射更有效地抑制鼻咽癌细胞生长和肿瘤进展,提示125I粒子植入治疗尤其对局部复发性鼻咽癌具有潜在临床应用价值。
The Complete Recanalization of PICC-related Venous Thrombosis in Cancer Patients: A Series of Case Reports
作者:Zuoping Huang, Xingjing Liu, Binxin Zou, Ligen Wang, and Tao Zhou
来源:Experimental and Therapeutic Medicine, 6(2), 411-412
摘要:目的:探讨三七总皂苷治疗癌症患者PICC相关静脉血栓的有效性和安全性,观察其在实现血管再通方面的作用。结论 三七总皂苷能够有效溶解癌症患者的PICC相关静脉血栓,实现完全血管再通,且不具有传统溶栓药物(如肝素、尿激酶)相关的出血风险,为伴有PICC相关静脉血栓的癌症患者提供了一种可行且有效的治疗选择。




























