2025-12-30
分享
当生命被接二连三的坏消息击中,59岁的马来西亚华侨符爱琴曾一度认为自己的人生剧本已近终章。从马来西亚到中国,这段跨越国界的医疗之旅,却最终为她翻开了一页全新的生命篇章。
疾厄突降:从“常规治疗”到放弃治疗
2024年9月,本已至更年期且停经的符爱琴突然出现月经不规律和大量出血。在马来西亚当地医院检查后,医生建议她立即切除子宫。术后病理结果让所有人震惊——子宫内膜癌。遵循当地“出现问题就切除”的常规思路,她随即开始了为期五周的治疗:5次化疗和25次电疗。

(符爱琴)
然而,治疗带来的副作用几乎将她击垮。“我吃不下,走路也有气无力,整个人状态非常虚弱。”符爱琴回忆道,当时她几乎是为了维持生命才勉强进食,“可能连半碗米饭都吃不了。”当医生建议进行第二组(加强版)放化疗时,身心俱疲的她毅然选择了拒绝。
拒绝治疗后,符爱琴似乎放弃了所有希望,只想享受余下的生活。2025年8月,肿瘤与疼痛席卷重来——盆腔淋巴结复发增大至约3.9*3.3cm,压迫腿部神经,导致左腿严重肿胀,肝脏也出现新发转移瘤,约0.9*1.6cm。“那时我只能依靠高剂量止痛药,来维持我每一天的睡眠。”疼痛与无助日夜相伴,她不禁在祷告中追问:“难道我剩余的生命就只能这样了吗?”

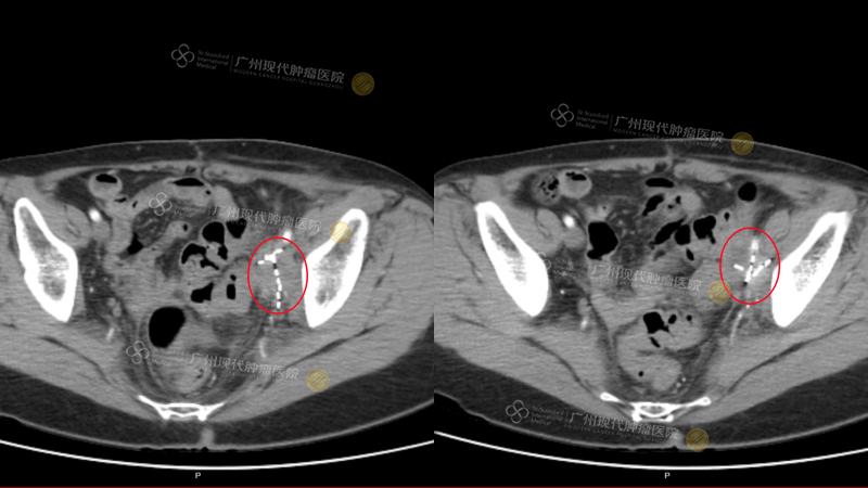
(该CT为9月22日于我院入院检查结果)
绝境逢光:从绝望祷告到希望之门
万念俱灰之际,转机意外降临——符爱琴身在槟城的阿姨发来了一场癌症治疗讲座会的信息。最初,状态极差的符爱琴对外界任何信息都提不起兴趣。信息几经辗转,最终由丈夫在周日礼拜后,带着她走进了那场由广州现代肿瘤医院林菁教授主讲的讲座会。
“当我听到林教授的分享时,真的眼前一亮。”符爱琴说,“原来还有这种先进的治疗技术,我们以前完全没有了解过。”讲座上介绍的粒子植入、介入治疗等微创技术,微创高疗效的突出优势,彷佛让她看到新的可能。


(2025年9月林菁教授线下活动现场)
尽管当时符爱琴已被诊断为子宫内膜癌第四期,但林菁教授在分析她的报告后依旧给了她坚定回答:可以治疗。更令她安心的是,了解到医院在吉隆坡已设有十年的国际服务中心,这极大打消了他们的疑虑。讲座结束当天,夫妻俩没有一丝犹豫:“我们当场就做了决定,买了下星期的机票,只为过去治疗,别无他想。”
精准破局:微创技术“无副作用”逆转奇迹
2025年9月21日,符爱琴在丈夫的陪同下入院。此时她的情况非常不乐观:左腿因盆腔淋巴结长期压迫已出现静脉血栓,导致行走困难,精神与身体状态均深陷低谷。于是,在完善入院检查后,广州现代肿瘤医院MDT多学科团队为她量身定制了“介入栓塞治疗+局部粒子植入治疗”的整合微创方案。
林菁教授解释,若再次手术会带给患者极大创伤;短时间内再次放化疗易对盆腔内膀胱、直肠等器官造成放射性损伤。而微创治疗这一方案的优势在于微创、精准与安全:介入治疗能将高浓度药物精准输送到肿瘤部位,全身副作用极小;粒子植入则像在肿瘤内部进行“定点爆破”,以极小的创伤实现内放疗效果。
疗效立竿见影:第一次治疗结束后,折磨她许久的腹痛就消失了。第二次治疗后,腿部血液循环恢复,左腿肿胀明显消退。“这给了我巨大的信心,”符爱琴兴奋地分享道,“第四次治疗结束做了pet scan,真的能看到肿瘤明显萎缩了。”历时三个月,截至目前,符爱琴的盆腔淋巴结基本完全失活,肝脏肿瘤消失不见,整体疗效评估可达到PR。

(盆腔:2次治疗后肿瘤缩小80%)(白色高亮为植入粒子)

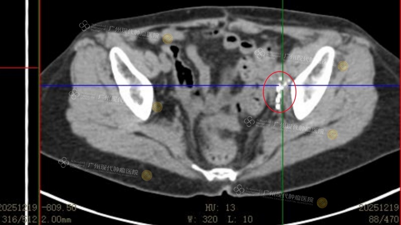
(4次治疗后,2025年12月19日复查显示肿瘤基本完全失活)
更让她惊喜的是治疗过程本身。“它完全没有副作用,无论是呕吐或者胃口不好,只是介入治疗结束当天我需要24小时不能下床,之后就可以如往常一般饮食、活动。”这与之前放化疗的痛苦经历天壤之别。

“最重要的是我肉眼可见的全方位恢复了。”符爱琴笑着说,“最初入院的时候,我只想躲在房间里,到现在我已经愿意社交、交朋友了。”这种从内而外的焕新,让她重新找回了生活的勇气与乐趣。
生命重建:在异国他乡找到“第二个家”
“在这里,从林菁教授到主治医生、护士团队,他们组成了一个以我为核心的‘专属团队’。”符爱琴回忆道,“每次治疗前,教授都会耐心解释治疗方案,护士们也会细心关注我的情绪变化。”

(林菁教授日常查房关心符女士的情况)

(夫妻俩与林菁教授等医护人员合影)
符爱琴的丈夫吴先生对此深有感触:“当我太太第一次治疗后就明显好转时,我们就互相对彼此说,‘我们的选择是对的’。”

(夫妻俩相互依偎)
写给医院的感谢信中,夫妻俩真挚地表达:“感谢医院所有的医务人员、林教授、董医生,以及全体工作人员。这里已经像我们的第二个家了。”


(夫妻俩的手写感谢信)
感恩回响:夫妻同心,成为希望的播种人
如今,新生的符爱琴与丈夫,已将感恩化为行动,成为了微创治疗的积极传播者。回到马来西亚后,他们开始向身边的人分享这段经历,甚至与药店药剂师交流时,也会主动介绍微创治疗、分享广州现代肿瘤医院的相关资讯。

“广州现代肿瘤医院已经成立20年了,这也意味着这项微创技术在中国存在了20多年,而我们却一无所知。”符爱琴真诚地说,“我真的太敬佩了。所以我们能做的,就是尽己所能,把这个好消息分享出去,传递给有需要的人,让他们也有重新站起来的勇气和机会。”
从放弃治疗到生命重启,符爱琴的三个月“重生路”,是一条由绝望、机缘、信任、技术与人文关怀共同铺就的道路。如今,这位曾经被疼痛折磨到身心俱竭的子宫内膜癌患者,正以自己的新生,向世界传递着一个坚定的信念——面对癌症,不要放弃,总有更好的方式值得尝试。




























