2025-11-19
分享
“我的病情属于前列腺癌侵犯到了膀胱,当地的医生都建议我直接切除,并在旁边造口,永久需要带着尿袋,但这里的微创治疗起码可以让我保留这些器官,让我像常人一般生活。”这是我选择圣丹福广州现代肿瘤医院的原因。
(陈先生的个人专访)
辗转两城反复检查
花费半年病理结果仍未知
我姓陈,今年58岁,来自砂拉越,是马来西亚的华裔。
早在数年前,我就出现了尿频的症状,但当时我不以为意。2023年7月,因排尿困难且夜尿频繁,我去了当地医院检查,医生告知我只是前列腺肥大,于是我进行了药物治疗,可1-2个月后情况并未改善。
后来,我又先后在马来西亚和新加坡的医院进行了活检等更细致的检查,奈何结果都不十分明确,只显示为高级别尿路上皮癌(恶性程度较高),仅考虑为膀胱癌,且无法确定是否发生转移。与此同时,两边的医生都建议我尽快做手术、电疗等治疗,以免病情恶化。

(陈先生)
面对这些传统治疗方式,我是拒绝的,不仅怕自己承受不住治疗带来的副作用,更因我目睹了我父亲接受电疗之后,头痛、呕吐不止等备受折磨的状态。所以,我想回家继续寻找更适合我的治疗方式。
一段时间后,方法还没着落,我排尿困难的情况却进一步加重,于是我只能先行膀胱造瘘缓解我的不适。
整合微创治疗
助我从尿袋梦魇中解脱
在寻找其他治疗方式期间,我和妻子曾参加过圣丹福广州现代肿瘤医院举办的一场癌症治疗线下讲座。讲座上,戴文燕教授分享的关于癌症治疗无需切除的微创治疗技术十分吸引我,当下听完我便觉得十分满意,因为如果在马来西亚是会直接切除的,然后在旁边造口,终生携带尿袋过活。

(陈先生的生活照)
回去后我便上网查询了各种资料,还去到了吉隆坡国际服务中心进行详细咨询。经过周全了解,2023年底,在进行膀胱造瘘的第二天,我便来到了这家医院。
入院后,详细了解完我的情况,医生便给我安排了全面的身体检查。二十多天后,我终于得到了准确的病理结果:前列腺癌Ⅳ期,癌细胞侵犯到了膀胱。有了准确的结果,才能更好地进行针对性治疗。根据我的情况,医院MDT团队为我制定了以“介入疗法”为主的整合微创治疗方案。
确实如同我提前了解的一样,介入疗法是将比全身化疗药物高2-92倍的抗肿瘤药物灌注到肿瘤组织中,既能保住器官和功能,又能达到治疗癌症的效果。
初来时,我只能依靠尿袋解决排尿困难的窘境,也因此无法进行大幅度的运动锻炼。每日护理创口的繁琐流程,笼罩在心头的尴尬情绪……总之,尿袋处处约束着我的日常生活。然而,在接受第一次介入治疗后,我排尿困难的状况就有了很大改善;第二、三次介入治疗之后,不仅排尿情况越发通畅,前列腺的肿瘤也有了明显缩小,我也终于可以摆脱尿袋生活了!对此,我不禁感慨总算找到了适合自己的治疗方式,即便还需复查和巩固治疗,我也坚信,未来会越来越好!

(2024年2月21日CT检查)
第一次治疗后,虽有些不适反应,但还在可接受范围,并且这些不适症状1-2天后就消失了,后续治疗过程中也并未再出现。状态逐渐恢复时,我还会和妻子去医院周边散步、爬山,进行一些简单的锻炼。
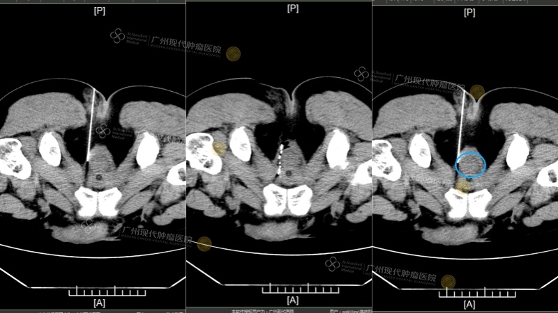
在前期介入治疗实现肿瘤缩小的良好基础上,为寻求更优的局部控制率,陈先生于2024年6月及7月接受了粒子植入治疗,分别针对前列腺原发肿瘤及淋巴结转移病灶进行“定点清除”。该技术主要优势在于:
• 精准高效:粒子直接植入肿瘤靶区,射线能量集中,能更有效地杀灭肿瘤细胞。
• 持续作用:粒子在数周或数月内持续释放低剂量射线,实现了对肿瘤的24小时不间断治疗。
• 安全微创:由于辐射距离短(约1.7cm),能量绝大部分被肿瘤组织吸收,对周围正常组织和重要器官的损伤显著降低。
• 对家人无害:由于粒子植入辐射距离短的特性,辐射不会对身体以外的环境及家人构成影响,治疗期间无需特殊隔离,极大地保护了患者及家人的正常生活。

(2024年6月:粒子植入中 VS 粒子植入后 VS 肿瘤位置:此时肿瘤相比已大幅缩小)

(2024年7月:淋巴结转移病灶 & 于淋巴结转移病灶放置粒子)
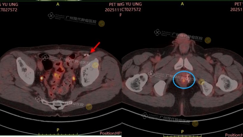
根据2025年11月12日的最新CT影像学评估结果显示:陈先生的前列腺肿瘤及淋巴结病灶均已基本完全失活!这个“好消息”让陈先生和家属倍感欣慰,笑容也愈发多了起来。我们相信,这个阶段性的胜利不仅源于先进技术的精准发力,更是陈先生本人坚韧乐观、积极配合的结果。前路光明,我们满怀信心,与他一同期待下一个好消息。

(2025年11月12日,最新CT结果:前列腺肿瘤及淋巴结转移病灶均已基本完全失活)
迷茫的人生十字路口
还好有你们指引前行
坦言说,当我得知病情,悲伤的情绪便像挥之不去的阴霾,每天的生活都变得十分煎熬,有时我甚至会产生一些不好的念头。幸好,在我迷茫之际,我的妻子始终陪着我;幸好,我遇到了合适我的治疗方式。
我很感谢我的妻子。从治疗之旅的奔波,到日常起居的照料,她都一直在我身边。面临未知的跨国治疗之途,她也义无反顾的同我一起横跨海洋,积极鼓励我接受治疗。我想,言语已经无法表达我对她的感谢了。

(陈先生和妻子)
另外,我也想对这家医院的医护人员道一声感谢。首先,这家医院的微创治疗技术保住了我的器官,让我摆脱了尿袋的禁锢,这也是我最觉神奇、最感激的部分!其次,很感谢他们对我的照料,无论是治疗前后事无巨细的方案沟通、每日查房的实时状态跟进,还是节日活动的医患同庆,都让我感受到了这家医院对待患者认真且负责的态度。
最后,我还想跟大家说,治疗癌症,传统治疗方式不是唯一之选,你需要根据自己的情况和需求去判断,找到最适合自己的治疗方式,这才是最重要的!




























