浏览次数:88
2025-11-28
分享
在刚刚落幕的第六届东盟国际整合肿瘤医学论坛上,广州现代肿瘤医院王宝利教授带来的《癌性疼痛的治疗策略——中西医整合视角》专题报告,为癌痛治疗领域提供了新的临床见解与可复制的诊疗路径。此次报告不仅呈现了全球癌痛领域的重要流行病学证据,也展示了广州现代肿瘤医院在药物治疗规范化、微创介入精准化、身心整合一体化方面的全程管理路径,被多国参会学者评价为“具有国际临床指导意义的癌痛管理方案”。

(王宝利教授作主题报告)
直面癌痛:不仅是症状,更是生存关键点
王教授在报告中首先援引权威数据,揭示了癌痛问题的普遍性与严峻性。全球超过三分之一的癌症患者正忍受中重度疼痛的折磨,尤其在头颈部肿瘤患者中,疼痛发生率超过50%。更值得关注的是,疼痛程度是影响患者生活质量的独立因素,甚至与生存期密切相关。在IV期肺癌研究中,充分镇痛患者的中位生存期可达11.6个月,而镇痛不佳者仅为8.9个月。另一项纳入202名晚期癌症患者的研究显示:充分镇痛者超过 53.9% 生存超过6个月,而镇痛不足者仅为37.2%。这深刻说明,有效管理癌痛,是肿瘤综合治疗中不可或缺的一环,直接关乎患者的生存质量与时间。
面对如此严峻的挑战,王教授强调,精准的癌痛管理必须建立在对其根源的清晰认知之上。他进一步阐述,癌痛原因复杂,主要来源于肿瘤本身(如直接侵犯、压迫)、抗肿瘤治疗(如手术、放化疗)以及合并症等。在临床实践中,根据病理生理学机制,可将其划分为躯体痛、内脏痛和神经病理性疼痛三类,而这一分类正是后续评估与治疗策略制定的根本依据。
破局之道:规范评估与个体化用药的“双翼”齐飞
要实现有效镇痛,精准评估是前提。王教授详细解读了中国国家卫健委《癌症疼痛诊疗规范(2018年版)》中强调的“定期、量化、全面、动态”评估原则,并介绍了数字评分法(NRS)、面部表情评分法及主诉疼痛程度分级法(VRS)三种核心评估方法,为临床实践提供了清晰的路线图。

(主诉疼痛程度分级法)
在治疗层面,王教授深入浅出地介绍了药物治疗的精髓。他不仅讲解了经典的三阶梯止痛原则及最新指南更新,更重点剖析了阿片类药物“滴定”的艺术,强调应根据患者个体反应精细调整剂量,以实现“疗效最大化 + 副作用最小化 + 功能恢复最大化”的个体化治疗目标。
技术赋能:微创介入为难治性癌痛开辟新路径
作为本次报告的重点,王教授通过多个典型病例,展示了微创介入技术在难治性癌痛治疗中的显著优势。包括:
● 神经阻滞/毁损术:通过化学(如医用乙醇)或物理(如冷冻消融)方式阻断疼痛传导路径,如DSA引导下腰交感神经毁损术治疗胰腺癌腹痛,显著改善疼痛并提升患者活动能力;
● 经皮椎体成形术(PVP):减轻椎体原发性肿瘤或转移瘤疼痛,强化椎体稳定性,同时抑制椎体肿瘤进展;
● 放射性粒子植入术:针对局部复发或转移灶,通过内放射精准杀伤肿瘤,缓解压迫性疼痛;
● 鞘内药物输注系统(IDDS):通过椎管内直接输注镇痛药物,以极低剂量实现高效镇痛,显著减少全身副作用,适用于口服困难或全身用药效果不佳的患者。
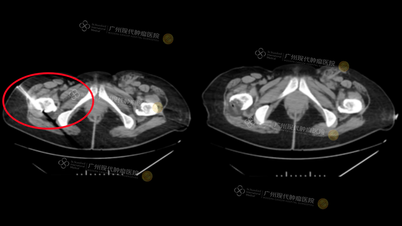
王教授通过一系列典型病例,生动诠释了微创技术的临床应用价值。其中,一例乳腺癌并骨转移患者,治疗前疼痛评分(NRS)高达10分,使用大剂量常规止痛药物仍效果不佳;经MDT讨论后为其施行了CT引导下的冷冻消融术,术后患者疼痛得到显著缓解,生活质量获得明显改善。
●●
(施行冷冻消融术)

(治疗后NRS评分)
另一例乳腺癌术后复发伴胸壁、骨转移的患者,同样面临常规药物镇痛不满意的困境(NRS 8分);在采用放射性粒子植入术后,患者疼痛得到有效控制,生活质量和活动能力(Karnofsky评分)均较前提升。

(施行粒子植入术)

(治疗后NRS评分)
这些技术在多学科协作(MDT)模式下,为传统药物治疗效果不佳的患者提供了新的治疗选择,显著提升了生活质量和功能状态。
综合施策:构建全方位的癌痛管理生态
王教授进一步指出,癌痛治疗需超越药物与手术,整合多种手段。他特别介绍了物理疗法(如热敷、冷敷、按摩、经皮神经电刺激)与心理干预(如认知行为疗法、放松训练),形成“身心同治”的整合医学模式。

同时,他提出了明确的临床目标——“5A”充分镇痛,即关注镇痛效果、日常活动、不良反应、异常用药行为及患者情绪五大维度,致力于实现“无痛或轻度疼痛,且爆发痛频率<3次/天”的治疗目标。
总结与展望:迈向“有温度”的精准镇痛新时代
报告总结中,王教授高屋建瓴地指出:“癌痛治疗是肿瘤综合治疗的重要组成部分,与患者生存期、生活质量密切相关。” 他进一步阐述了未来的发展方向:
● 理念升级:在充分镇痛的过程中,应当体现及早、平衡、精准的新理念。
● 模式进化:多学科协作、全程化管理、整合医学是癌痛治疗的大势所趋。药物治疗需兼顾规范化与个体化,而微创介入则以其独特优势,成为提升疗效的关键力量。


(樊代明院士为王宝利等教授颁发优秀讲师荣誉证书)
王宝利教授的此次分享,不仅是一次学术成果的展示,更是一次治疗理念的升华。他有力地传递了一个核心思想:“治疗癌症患者不应是简单的延长生命,而应该是让他们生活得更有意义!” 这份源自临床实践的真知灼见,为癌痛治疗领域注入了人文关怀与整合医学的新范式,必将推动更多医疗工作者关注患者的疼痛,携手为癌症患者点亮更多有质量、有尊严的生命时光。


























