浏览次数:112
2025-11-28
分享
2025年11月,在第六届东盟国际整合肿瘤医学论坛上,广州现代肿瘤医院胃肠肿瘤专科带头人、国际知名微创及生物治疗专家——马晓颖教授,受邀作大会主题报告,以《MDT to HIM 指导下的结直肠癌肝转移(CRLM)生物治疗病例分享》为题,向来自东盟、中南亚、俄罗斯、孟加拉等多国专家系统展示中国在CRLM微创—生物治疗整合策略方面的最新临床突破。
该论坛是区域内最高规格的肿瘤整合医学平台之一,马晓颖教授的发言以扎实的数据、完整的案例路径与创新的诊疗体系获得国际同行高度关注。

马晓颖教授发表演讲
1. CRLM全球挑战升级:精准治疗亟需突破
全球癌症统计显示:2020年全球新发癌症约 1929万例,其中结直肠癌占 10%;癌症死亡约996万例,结直肠癌相关死亡率达 9.4%;

(注:结直肠癌的现状数据来源于:Sung H, et al. CA Cancer J Clin. 2021 Feb 4.)
70% CRC 患者会发生肝转移,15%–25% 初诊即呈现CRLM,15%–25% 患者仅以肝脏为单一转移部位,尽管新机制抗癌靶向药物(ICIs)在 MSI-H/dMMR 人群中带来突破,但临床现实是:
95% 的CRLM患者为 MSS/pMMR,对生物治疗天然不敏感,成为全球最棘手治疗难点之一。
其耐药机制与多因素相关,包括:
● 肿瘤微环境中的肿瘤浸润淋巴细胞较少
● 与dMMR CRC相比,pMMR中较低的突变
● 新抗原负载
因此,如何通过“外源干预+内源调控”改善TME,提高MSS患者的治疗响应,成为全球研究焦点。
2. “MDT to HIM”:广州现代肿瘤医院的系统化创新模式
马晓颖教授强调:
“MDT to HIM 并不是一次讨论,而是贯穿整个诊疗周期的系统性整合模式。”
该模式由广州现代肿瘤医院独立完善,包含:
● MDT(多学科团队)精准评估
涵盖胃肠外科、肿瘤内科、微创介入科、影像科、病理科等多团队联合制定方案。
● HIM(介入+生物治疗+微创)综合框架
通过策略性组合:
微波消融(MWA)、碘-125 粒子植入、肝动脉灌注化疗(HAIC)、联合生物治疗方案
实现原发灶控制、转移灶缩小、突破耐药与争取NED(无肿瘤证据) 的治疗目标。该模式为后续案例取得显著疗效奠定了基础。
3. 五大典型CRLM病例:展示“微创+生物治疗”整合的临床价值

马晓颖教授阐述病例
在主题报告中,马晓颖教授选取了5个不同亚型、不同耐药机制、不同基因特征的CRLM病例,系统展现医院在复杂CRLM治疗中的整合能力。
3.1. CRLM局部微创技术与生物治疗深度整合的创新实践
包括:微波消融(MWA)、碘-125 粒子植入、动脉灌注化疗(HAIC)、靶向药物、PD-1抗体的序贯或联合应用,通过精准介入治疗解决原发耐药或继发耐药问题,使部分患者达到 NED(无肿瘤证据),疗效长期稳定。
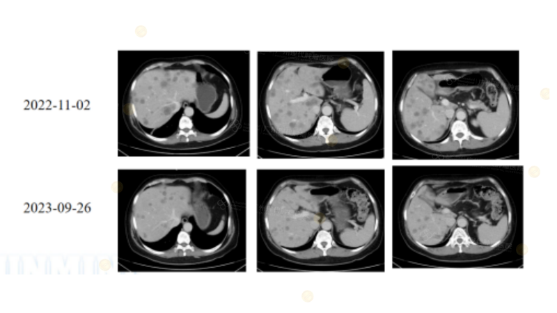
Case1

(注:25岁男性直肠癌肝转移,MSI-H/KRAS突变。PD-1生物治疗直肠原发灶CR,肝转移灶微波消融(MWA)局部干预,争取NED。)
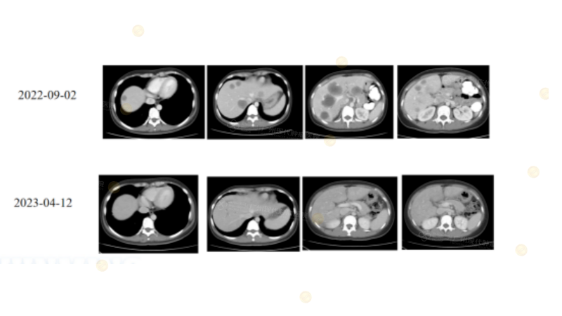
Case2
(注:2019年直肠癌患者,生物治疗后肺转移病灶CR,后续出现新发肝脏转移灶,考虑患者存在继发耐药,给予行局部碘-125 粒子植入治疗,为患者争取NED。)
3.2. 罕见基因亚型的精准生物治疗方案探索
如BRAF突变、ARID1A突变、TMB升高人群,取得了国际上高度关注的临床成效。
(注:36岁女性结肠肝曲癌(BRAF/ARID1A突变、MSS、TMB略高),多线治疗后肝转移PD,四线生物治疗联合治疗(Nivolumab+Ipilimumab±瑞戈非尼)取得PR/SD,PFS 15个月,显示罕见基因亚型可获益于精准生物治疗。)
3.3. MSS CRLM患者的突破性疗效
尽管传统上MSS被认为“难获益”,但本院病例显示:
生物治疗+ 靶向 + 局部治疗在部分患者中实现显著缩瘤,甚至接近完全缓解,为MSS研究提供了重要临床证据。
(注:30岁男性直肠癌术后肝多发转移(MSS/pMMR、NRAS G12D),多线生物治疗+靶向+局部治疗(Sintilimab+HAIC+Bevacizumab+MWA)后肝转移接近CR/NED,显示MSS CRLM患者可获突破性疗效。)
这些研究数据与治疗策略,展示出广州现代肿瘤医院在多模式整合治疗、精准化生物治疗、复杂CRLM处理方面的高水平实践,对东盟国家及国际同行具有重要参考价值。
4. 十年 5582 例 CRLM 数据:验证“生物治疗+微创+MDT”模式的长期价值
十年间,广州现代肿瘤医院共治疗5582例 CRLM 患者。其中接受微创局部治疗的人群中:
5年生存率达 45.8%,这一数据接近国际顶尖肿瘤中心水平,进一步验证了医院“微创介入+生物治疗+多学科整合”的有效性。
5.推动国际交流与技术输出:中国微创肿瘤治疗走向世界

中国抗癌协会主席樊代明为马晓颖教授颁发聘书
马晓颖教授此次在东盟论坛上的报告获得专家高度评价,对多国肿瘤中心具有重要意义:
● 提供可复制的CRLM 综合治疗路径
● 推动微创介入技术在东盟、中南亚等地区的临床应用
● 为MSS CRLM 研究提供临床证据
● 加深国际中心合作与生物治疗研究
通过在第六届东盟国际整合肿瘤医学论坛的高水平分享,广州现代肿瘤医院不仅展示了中国CRLM 领域的最新突破,更以成熟的 MDT to HIM 综合模式、系统化的微创+生物治疗路径和国际认可的临床结果,为全球肿瘤患者带来新的希望,展示了中国在微创肿瘤治疗、生物治疗策略创新、复杂CRLM管理方面的硬实力与国际影响力。未来,医院将继续推动创新技术在东盟及国际范围的共享与落地,为更多CRLM患者争取更长期、更高质量的生存。

全球各国专家合影


























