Views:100
2026-01-12
Share

- FOO AI KIM Malaysia
- Diseases:Endometrial Cancer
- Treatment programs:Interventional Therapy + Particle Implantation
When life struck her with a series of devastating blows, 59-year-old Malaysian Chinese FOO AI KIM once believed she was nearing the final chapter of her life’s story. Yet, her cross-border journey for treatment—from Malaysia to China—ultimately turned the page to a brand new beginning.
Sudden Onset of Illness: From“Conventional Treatment” to Abandoning Therapy
In September 2024, FOO AI KIM, who had already entered menopause and stopped menstruating, suddenly experienced irregular periods with heavy bleeding. After being examined at a local hospital in Malaysia, doctors advised her to undergo an immediate hysterectomy. The postoperative pathological results came as a shock to everyone—endometrial cancer. Following the local conventional approach of “removing the problem when it arises”, she subsequently began a five-week treatment plan: five sessions of chemotherapy and 25 sessions of radiotherapy.

(FOO AI KIM)
However, the side effects of the treatment nearly crushed her. “I couldn’t eat, I was too weak to walk, and my overall condition was extremely poor”, FOO AI KIM recalled. At the time, she forced herself to eat just to stay alive—“I probably couldn’t even finish half a bowl of rice”. When her doctors recommended a second (intensified) round of radiotherapy and chemotherapy, she was both physically and mentally exhausted. With resolve, she chose to refuse.
After refusing further treatment, FOO AI KIM seemed to have given up all hope, wanting only to enjoy whatever life she had left. In August 2025, the tumor and the pain returned with a vengeance—a pelvic lymph node recurrence had enlarged to approximately 3.9*3.3 cm, compressing the leg nerve and causing severe swelling in her left leg. A new metastatic tumor, about 0.9*1.6 cm, also appeared in her liver. “At that time, I could only rely on high doses of painkillers to get me through each day's sleep,” she shared. With pain and helplessness as her constant companions, she couldn’t help but plead in her prayers: “Is this really all that’s left for the rest of my life?”

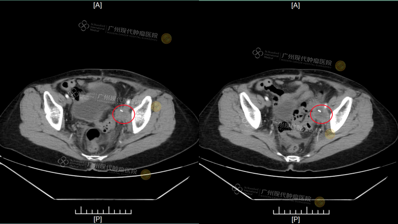
(This CT scan showed results of her admission examination at our hospital on September 22)
Light In The Darkness: From Desperate Prayer To The Door of Hope
At her most desperate moment, hope emerged unexpectedly—FOO AI KIM’s aunt in Penang sent her information about a cancer treatment seminar. Initially, in extremely poor condition, FOO AI KIM held little interest in any external news. After the message passed through several hands, her husband finally accompanied her to the seminar following Sunday service—a talk delivered by Professor Lin Jing from Modern Cancer Hospital Guangzhou.
“When I heard Professor Lin’s presentation, my eyes were truly opened,” FOO AI KIM recalled. “I had never known such advanced treatment technologies existed before.” The minimally invasive techniques introduced during the seminar—such as particle implantation and interventional therapy—along with their outstanding advantages of being less invasive yet highly effective, seemed to open up new possibilities for her.


(Professor Lin Jing’s Offline Event Scene, September 2025)
Despite being diagnosed with stage IV endometrial cancer at the time, Professor Lin Jing, after analyzing her reports, gave her a firm response: It could be treated. What further reassured her was learning that the hospital had already established an International Service Center in Kuala Lumpur for ten years, which greatly alleviated their concerns. On the very day the seminar ended, the couple did not hesitate for a moment: “We made the decision right then and there, bought tickets for the following week, with only one purpose—to go for treatment, and nothing else on our minds.”
Precision Breakthrough: Minimally Invasive Techniques Achieve A“Side-Effect Free” Miracle Reversal
On September 21, 2025, FOO AI KIM was admitted to the hospital, accompanied by her husband. At that time, her condition was highly critical: Prolonged compression from pelvic lymph nodes had caused a venous thrombosis in her left leg, making it difficult for her to walk and leaving both her mental and physical state at a low point. Following comprehensive admission assessments, the MDT (Multidisciplinary Team) at Modern Cancer Hospital Guangzhou tailored an integrated minimally invasive treatment plan for her, combining “Interventional Embolization Therapy with Local Particle Implantation Therapy”.
Professor Lin Jing explained that another surgery would cause significant trauma to the patient, while another round of radiotherapy and chemotherapy in a short period could easily cause radiation damage to pelvic organs such as the bladder and rectum. The advantage of the minimally invasive treatment plan lies in its minimal invasiveness, precision, and safety: Interventional therapy can deliver high concentrations of medication directly to the tumor site with minimal systemic side effects, while particle implantation acts like a “targeted internal radiation” within the tumor, achieving therapeutic effects with very little trauma.
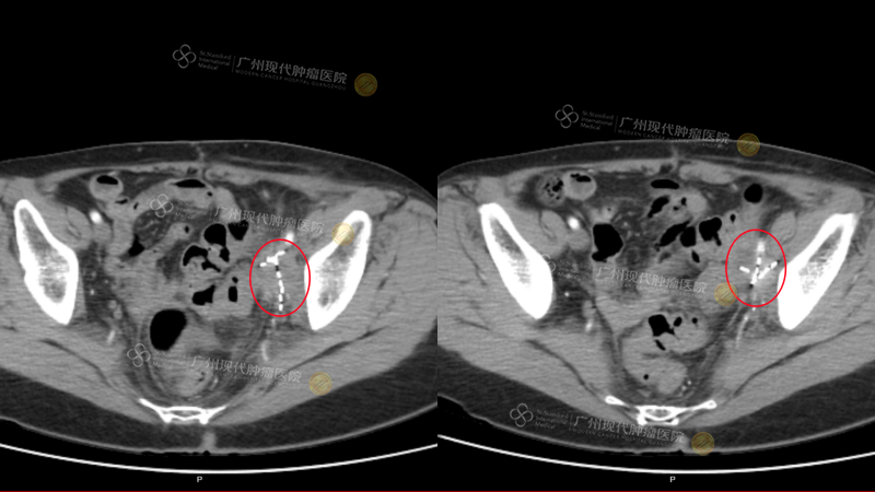
The results were swift and remarkable: After the first treatment session, the abdominal pain that had tormented her for so long disappeared. Following the second session, blood circulation in her leg was restored, and the swelling in her left leg significantly subsided. “This gave me tremendous confidence,” FOO AI KIM shared with excitement. “After the fourth session, a PET scan was done, and I could truly see the tumor had noticeably shrunk.” Over a period of three months, to date, FOO AI KIM’s pelvic lymph nodes have essentially been completely deactivated, the liver tumor has disappeared, and the overall efficacy assessment has reached PR (Partial Response).

(Pelvis: Tumor reduced by 80% after two treatments) (The white highlights indicate the implanted particles)

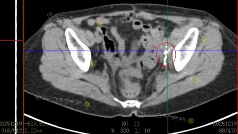
(Re-examination on December 19, 2025, after four treatments, revealed that the tumor was essentially completely deactivated)
What surprised her even more was the treatment process itself. “It had absolutely no side effects—no vomiting, no loss of appetite. The only requirement was that I had to stay in bed for 24 hours on the day of the interventional therapy. After that, I could eat and move around as usual.” This was a dramatic contrast to the painful experience she had endured with previous radiotherapy and chemotherapy.

“The most important thing is that I have visibly recovered in every way,” FOO AI KIM said with a smile. “When I was first admitted, I just wanted to hide in my room. Now, I’m willing to socialize and make friends again.” This renewal, from the inside out, has helped her rediscover the courage and joy of living.
Life Rebuilt: Finding A“Second Home” In A Foreign Land
“Here, from Professor Lin Jing to the attending physicians and the nursing team, they formed a ‘dedicated team’ focused entirely around me,” FOO AI KIM recalled. “Before every treatment, the professor would patiently explain the treatment plan, and the nurses would attentively monitor any emotional changes I might have.”

(Professor Lin Jing checked on Ms. Foo’s condition during her daily ward rounds)

(A Photo of the Couple with Professor Lin Jing and Other Medical Staff)
Mr. Wu, FOO AI KIM’s husband, was deeply moved: “When my wife showed significant improvement right after her first treatment, we looked at each other and said, ‘We made the right choice.’”

(The couple leaning on each other)
In a heartfelt thank-you letter to the hospital, the couple sincerely expressed: “We thank all the medical staff, Professor Lin, Doctor Dong, and every member of the team here. This place has truly become like a second home to us.”


(The Couple’s Handwritten Thank-you Letter)
Echoes Of Gratitude: United In Heart, Sowing Seedsof Hope
Today, the renewed FOO AI KIM and her husband have channeled their gratitude into action, becoming active advocates for minimally invasive treatment. After returning to Malaysia, they began sharing their journey with those around them. Even when speaking with pharmacists at local drugstores, they proactively introduce the concepts of minimally invasive therapy and share relevant information about Modern Cancer Hospital Guangzhou.

“Modern Cancer Hospital Guangzhou has been established for 20 years, which also means this minimally invasive technology has existed in China for over two decades, yet we were completely unaware of it,” FOO AI KIM said sincerely. “I am truly in awe. So, what we can do is to do our utmost to share this good news and pass it on to those in need, giving them the courage and opportunity to stand tall once again.”
From abandoning treatment to restarting life, FOO AI KIM’s three-month “journey of rebirth” was a path paved with despair, serendipity, trust, advanced technology, and compassionate care. Today, this once physically and emotionally depleted endometrial cancer patient, who was tormented by severe pain, is now using her renewed life to convey a firm belief to the world: When facing cancer, do not give up—there is always a better way worth trying.
























