Views:111
2025-11-19
Share

- Mr.Chen Malaysia
- Diseases:Prostate cancer
- Treatment programs:interventional therapy
"My condition is that prostate cancer has invaded my bladder." The local doctors have suggested that I undergo a direct resection and have a stoma created next to it. I will always need to wear a urine catheter bag. But the minimally invasive treatment here can at least help me retain these organs and enable me to live a life like ordinary people. "This is why I chose St. Stamford Modern Cancer Hospital Guangzhou."
Traveling back and forth for check-ups between two cities
It took six months, but the results of the pathology are still unknown
My surname is Chen. I am 58 years old, from Sarawak, Malaysia, and of Chinese descent.
A few years ago, I experienced symptoms of frequent urination, but I didn't take it seriously at the time. In July 2023, I went to the local hospital for a check-up due to difficulty urinating and frequent nocturia. The doctor informed me that it was simply prostatic hypertrophy. I took medication, but did not improve after 1 to 2 months.
Later, I underwent more detailed examinations, such as biopsies, in hospitals in Malaysia and Singapore. However, the results were not very clear. They only showed high-grade urothelial cancer, indicating higher malignancy and only bladder cancer was considered. It is unclear whether there was any metastasis. At the same time, doctors in both countries recommended that I undergo surgery, radiotherapy, and other treatments as soon as possible to prevent the condition from worsening.

(Mr. Chen)
Faced with these traditional treatment methods, I refused to accept them. I was concerned not only about potentially unbearable side effects but also because I had seen my father suffer from headaches and vomiting after undergoing radiotherapy. Therefore, I wanted to go home and continue my search for a treatment that was more suitable for me.
After some time, since no treatment plan was determined, my difficulty in urination worsened. Therefore, I had to undergo a cystostomy to alleviate my discomfort.
Integrated Minimally Invasive Treatment Helps Free Me From Urine Catheter Bag Nightmares
Initially, I was solely dependent on a urine bag to manage my difficulty in urinating. This condition made it impossible for me to do extensive exercises and restricted my daily life. The process of tending to the wound was tedious and embarrassing. However, after my first interventional treatment, my difficulty in urinating improved significantly. After the second and third treatments, not only did my urination become smoother, but the prostate tumor also shrank considerably, and I was finally able to get rid of the urine bag. I can't help feeling relieved that I have finally found a treatment method that suits me. Although I still need to undergo further treatment, I firmly believe that it will only get better and better in the future.

(Mr. Chen's latest CT)
(The tumor has shrunk significantly)
After the first treatment, there were some uncomfortable reactions, but they were within the acceptable range, and these uncomfortable symptoms disappeared after 1-2 days and did not reappear during the subsequent treatment. When my condition gradually recovered, my wife and I would go for a walk around the hospital, hike, and do some simple exercises.
On the solid foundation of tumor shrinkage achieved through early interventional therapy, in order to pursue a better local control rate, Mr. Chen subsequently underwent seed implantation therapy. The main advantages of this technology are as follows:
Precision and efficiency: The seeds are directly implanted into the tumor target area, with concentrated radiation energy that can more effectively kill tumor cells.
Continuous action: The seeds continuously release low - dose radiation over several weeks or months, providing 24 - hour uninterrupted treatment for the tumor.
Safety and minimal invasiveness: Due to the short radiation range (approximately 1.7 cm), the vast majority of the energy is absorbed by the tumor tissue, significantly reducing damage to surrounding normal tissues and vital organs.
Harmless to family members: Given the short radiation range characteristic of seed implantation therapy, the radiation does not pose a threat to the environment outside the body or to family members. No special isolation is required during treatment, greatly protecting the normal lives of patients and their families.

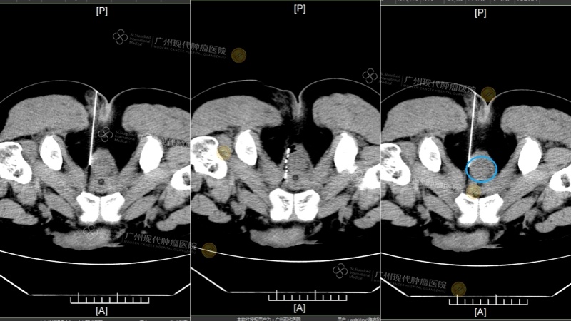
(June 2024: During particle implantation vs. after particle implantation vs. tumor location
At this point, the tumor has significantly shrunk compared to its previous size)

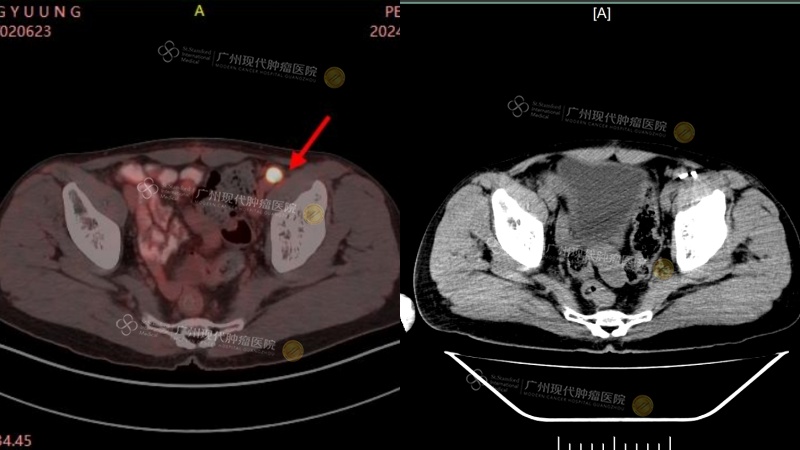
(July 2024: Lymph node metastatic lesions & placement of particles in the lymph node metastatic lesions)
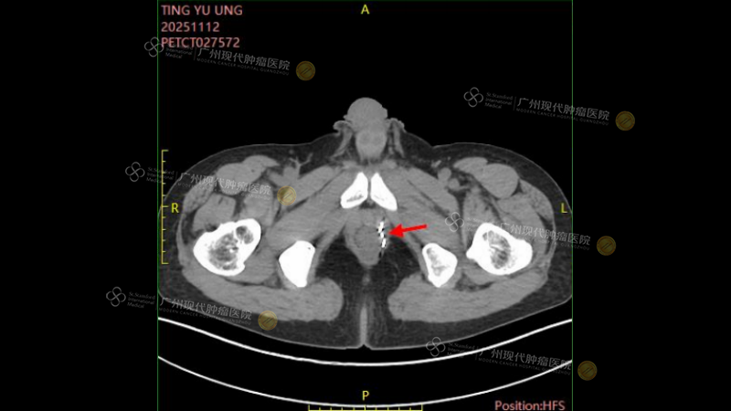
According to the latest CT imaging assessment results on November 12, 2025, the prostate tumor and lymph node lesions in Mr. Chen have basically been completely inactivated! This good news brought great comfort to Mr. Chen and his family, and their smiles became more frequent. We believe that this interim victory stems not only from the precise effectiveness of advanced technology but also from Mr. Chen's own resilience, optimism, and active cooperation. The road ahead is bright, and we are full of confidence as we look forward to the next piece of good news with him.

(On November 12, 2025, the latest CT results showed a significant reduction in tumor activity)
At the crossroads of life
Luckily we have you to guide us
To be honest, my life was full of confusion due to my illness. I felt miserable and hopeless, and sometimes even had some negative thoughts. Fortunately, my wife was always with me during my moments of confusion. I also found a treatment method that suited me, which was a great relief.
I am grateful to my wife. From accompanying me during the treatment journey to taking care of me daily, she has always been by my side. She never hesitated to cross the ocean with me to explore new treatment options. Her encouragement has been unwavering, and I cannot express my gratitude more to her in words.

(Mr. Chen and his wife)
Additionally, I would like to express my gratitude to the medical staff of this hospital. Firstly, the minimally invasive treatment technology used by the hospital saved my organs and helped me to get rid of the urine bag, which I find to be miraculous and for which I am extremely grateful. Secondly, I am thankful for the care provided by the hospital staff. They were very attentive in communicating the detailed plan before and after treatment, following up on my daily status, and celebrating festivals with patients. I feel that the hospital staff takes their responsibility towards patients seriously and is very dedicated.
Lastly, I would like to emphasize that traditional treatment methods are not the only option for cancer treatment. It is crucial to evaluate your specific needs and situation to find the most suitable treatment method for you.
























