2025-12-28
Share
At the recently concluded 6th ASEAN International Forum on Integrated Oncology Medicine, Professor Wang Baoli from Modern Cancer Hospital Guangzhou presented a special report titled "Cancer Pain Management Strategies: An Integrated Perspective of Traditional Chinese and Western Medicine."The report provided new clinical insights and replicable diagnostic and treatment pathways for cancer pain management. It not only presented key epidemiological evidence in the global field of cancer pain but also showcased Modern Cancer Hospital Guangzhou’s comprehensive management approach, characterized by standardized medication, precision in minimally invasive interventions, and the integration of physical and mental well-being. Scholars from multiple countries praised the report as a "cancer pain management plan with international clinical significance."

(Professor Wang Baoli delivering the keynote report)
Confronting Cancer Pain: Not Just a Symptom, but a Critical Determinant of Survival
In his report, Professor Wang began by citing authoritative data to highlight the prevalence and severity of cancer pain. Over one-third of cancer patients worldwide suffer from moderate to severe pain, with the incidence exceeding 50% among head and neck cancer patients. Notably, the intensity of pain is an independent factor affecting patients' quality of life and is even closely linked to survival. In studies on stage IV lung cancer, patients with adequate pain relief had a median survival of 11.6 months, compared to only 8.9 months for those with inadequate relief. Another study involving 202 advanced cancer patients revealed that over 53.9% of those with adequate pain relief survived beyond 6 months, while only 37.2% of those with inadequate relief did. This underscores the fact that effective cancer pain management is an indispensable component of comprehensive cancer treatment, directly impacting patients' quality of life and survival time.

Faced with such significant challenges, Professor Wang emphasized that precise cancer pain management must be built on a clear understanding of its root causes. He further explained that cancer pain arises from complex sources, primarily including the tumor itself (e.g., direct invasion, compression), anti-cancer treatments (e.g., surgery, radiotherapy, chemotherapy), and comorbidities. In clinical practice, cancer pain can be classified into three types based on pathophysiological mechanisms: somatic pain, visceral pain, and neuropathic pain. This classification serves as the fundamental basis for subsequent assessment and treatment strategies.

The Path to Resolution: The Dual Wings of Standardized Assessment and Personalized Medication
Accurate assessment is a prerequisite for effective pain relief. Professor Wang provided a detailed interpretation of the assessment principles emphasized in China’s National Health Commission’s "Cancer Pain Diagnosis and Treatment Guidelines (2018 Edition)"—"regular, quantitative, comprehensive, and dynamic." He also introduced three core assessment methods: the Numerical Rating Scale (NRS), the Faces Pain Scale, and the Verbal Rating Scale (VRS), offering a clear roadmap for clinical practice.

(Verbal Rating Scale)
On the treatment front, Professor Wang provided an accessible yet in-depth explanation of the essence of pharmacotherapy. He not only discussed the classic three-step analgesic ladder principle and the latest guideline updates but also focused on the art of opioid "titration," emphasizing the need for fine-tuning doses based on individual patient responses. The goal is to achieve personalized treatment outcomes that maximize efficacy, minimize side effects, and restore functionality.
Technology Empowerment: Minimally Invasive Interventions Open New Pathways for Refractory Cancer Pain
As a key focus of the report, Professor Wang used several typical cases to demonstrate the significant advantages of minimally invasive interventional techniques in treating refractory cancer pain. These include:
● Nerve Blocking/Ablation: Disrupting pain transmission pathways through chemical (e.g., medical ethanol) or physical (e.g., cryoablation) methods. For example, DSA-guided lumbar sympathetic nerve ablation for pancreatic cancer-related abdominal pain significantly alleviates pain and enhances mobility.
● Percutaneous Vertebroplasty (PVP): Reduces pain from primary or metastatic vertebral tumors, strengthens vertebral stability, and simultaneously inhibits tumor progression.
● Radioactive Seed Implantation: Targets local recurrence or metastatic lesions, using internal radiation to precisely eliminate tumors and relieve compressive pain.
● Intrathecal Drug Delivery System (IDDS): Delivers analgesic medications directly into the spinal canal, achieving highly effective pain relief with minimal doses. This method significantly reduces systemic side effects and is suitable for patients with difficulty taking oral medications or those for whom systemic treatments are ineffective.
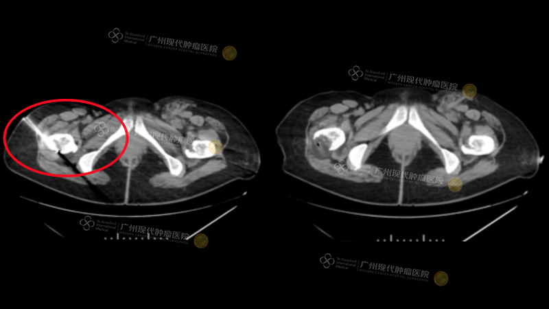
Through a series of typical cases, Professor Wang vividly illustrated the clinical application value of these minimally invasive techniques. One case involved a breast cancer patient with bone metastases whose pre-treatment pain score (NRS) was as high as 10. Even with high doses of conventional painkillers, the relief was insufficient. After multidisciplinary team (MDT) discussion, a CT-guided cryotherapy was performed, resulting in significant pain relief and a marked improvement in the patient’s quality of life.

(Performing Cryotherapy)

(Post-treatment NRS Score)
Another case involved a breast cancer patient with post-operative recurrence and chest wall and bone metastases. This patient also faced unsatisfactory pain relief with conventional medications (NRS 8). After undergoing radioactive seed implantation, the patient’s pain was effectively controlled, and both quality of life and functional status (Karnofsky Score) improved.

(Performing Seed Implantation)

(Post-treatment NRS Score)
Under the multidisciplinary team (MDT) model, these techniques provide new treatment options for patients who do not respond well to traditional pharmacotherapy, significantly enhancing their quality of life and functional status.
Comprehensive Strategies: Building an All-Encompassing Ecosystem for Cancer Pain Management
Professor Wang further pointed out that cancer pain treatment must go beyond medications and surgery to integrate multiple approaches. He specifically introduced physical therapies (such as heat/cold therapy, massage, and transcutaneous electrical nerve stimulation) and psychological interventions (such as cognitive-behavioral therapy and relaxation training), forming an integrated medicine model of "treating both body and mind simultaneously."

He also proposed clear clinical goals—"5A" adequate analgesia—focusing on five dimensions: analgesic effect, daily activities, adverse reactions, abnormal medication behaviors, and patient emotions. The aim is to achieve the treatment goal of "no pain or mild pain, with breakthrough pain frequency less than 3 times per day."
Conclusion and Outlook: Toward a New Era of 'Warm' and Precise Analgesia
In his concluding remarks, Professor Wang insightfully stated, "Cancer pain management is a crucial component of comprehensive cancer treatment and is closely related to patient survival and quality of life." He further outlined future development directions:
● Conceptual Advancement:The process of achieving adequate analgesia should embody new principles of being early, balanced, and precise.
● Model Evolution: Multidisciplinary collaboration, holistic management, and integrated medicine are the prevailing trends in cancer pain treatment. Pharmacotherapy must balance standardization with personalization, while minimally invasive interventions, with their unique advantages, are becoming a key force in enhancing treatment efficacy.


(Academician Fan Daiming presenting the Outstanding Lecturer Honorary Certificate)
Professor Wang Baoli’s presentation was not only a showcase of academic achievements but also an elevation of treatment philosophy. He powerfully conveyed a core idea: "Treating cancer patients should not merely be about prolonging life but about enabling them to live more meaningful lives!" This profound insight, rooted in clinical practice, has infused the field of cancer pain management with a new paradigm of humanistic care and integrated medicine. It is sure to inspire more healthcare professionals to focus on patients' pain, working together to illuminate more days of quality and dignity for cancer patients.















