2025-12-28
Share
In November 2025, at the 6th ASEAN International Forum on Integrative Oncology Medicine, Professor Ma Xiaoying, a leading specialist in gastrointestinal oncology and an internationally renowned expert in minimally invasive and biotherapy from Modern Cancer Hospital Guangzhou, was invited to deliver a keynote presentation. Titled "Case Sharing of Biotherapy for Colorectal Cancer Liver Metastases (CRLM) Guided by MDT to HIM," her report systematically presented China's latest clinical breakthroughs in integrated minimally invasive-biotherapy strategies for CRLM to experts from ASEAN countries, Central and South Asia, Russia, Bangladesh, and beyond.
As one of the highest-level platforms for integrative oncology in the region, the forum saw Professor Ma Xiaoying's presentation garner significant attention from international peers for its solid data, comprehensive case pathways, and innovative diagnosis and treatment system.

(Professor Ma Xiaoying delivering her speech)
Escalating Global Challenge of CRLM: Urgent Need for Breakthroughs in Precision Therapy
Global cancer statistics reveal:
● Approximately 19.29 million new cancer cases worldwide in 2020, with colorectal cancer (CRC) accounting for 10%.
● About 9.96 million cancer deaths, with CRC-related mortality reaching 9.4%.

(Note: Data on the current status of CRC sourced from: Sung H, et al. CA Cancer J Clin. 2021 Feb 4.)
70% of CRC patients develop liver metastases. 15%–25% present with CRLM at initial diagnosis, and 15%–25% have the liver as the sole metastatic site.
Although novel anticancer targeted drugs (ICIs) have brought breakthroughs in MSI-H/dMMR populations, the clinical reality is that 95% of CRLM patients are MSS/pMMR, inherently insensitive to biotherapy, making it one of the most challenging treatment difficulties globally.
Its drug resistance mechanisms are related to multiple factors, including:
● Fewer tumor-infiltrating lymphocytes in the tumor microenvironment (TME).
● Lower mutation burden and neoantigen load in pMMR compared to dMMR CRC.
Therefore, how to improve the TME through "exogenous intervention + endogenous regulation" to enhance treatment response in MSS patients has become a global research focus.
"MDT to HIM": The Systematic Innovation Model of Guangzhou Modern Cancer Hospital
Professor Ma Xiaoying emphasized:
"MDT to HIM is not a single discussion but a systematic integrated model that spans the entire diagnosis and treatment cycle."
This model, independently refined by Modern Cancer Hospital Guangzhou, includes:
● MDT (Multidisciplinary Team) Precision Assessment:
Involving teams from gastrointestinal surgery, medical oncology, minimally invasive interventional oncology, imaging, pathology, etc., to jointly formulate plans.
● HIM (Interventional + Biotherapy + Minimally Invasive) Comprehensive Framework
Through strategic combinations of Microwave Ablation (MWA), Iodine-125 seed implantation, Hepatic Arterial Infusion Chemotherapy (HAIC), and combined biotherapy regimens, aiming to control primary tumors, shrink metastases, overcome drug resistance, and achieve NED (No Evidence of Disease). This model laid the foundation for significant efficacy in subsequent cases.
Five Typical CRLM Cases: Demonstrating the Clinical Value of Integrated "Minimally Invasive + Biotherapy"

(Professor Ma Xiaoying explaining the cases)
In her keynote, Professor Ma selected five CRLM cases with different subtypes, drug resistance mechanisms, and genetic characteristics, systematically demonstrating the hospital's integrated capability in managing complex CRLM.
Innovative Practice of Deep Integration of Local Minimally Invasive Techniques and Biotherapy for CRLM
Including sequential or combined application of Microwave Ablation (MWA), Iodine-125 seed implantation, Arterial Infusion Chemotherapy (HAIC), targeted drugs, and PD-1 antibodies. Precise interventional therapy addresses primary or secondary drug resistance, enabling some patients to achieve NED with long-term stable efficacy.
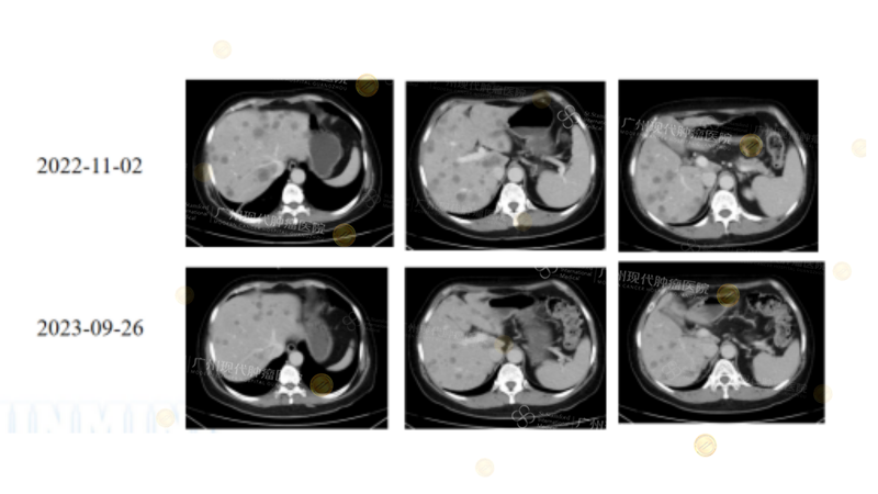
Case1

(Note: 25-year-old male with rectal cancer liver metastasis, MSI-H/KRAS mutation. PD-1 biotherapy achieved CR in the rectal primary lesion; MWA local intervention for liver metastasis aimed for NED.)
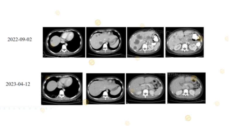
Case2

(Note: Rectal cancer patient from 2019. Lung metastases achieved CR after biotherapy. New liver metastases subsequently appeared. Considering secondary drug resistance, local Iodine-125 seed implantation was performed to aim for NED.)
Exploration of Precision Biotherapy Regimens for Rare Genetic Subtypes
Notable clinical outcomes attracting international attention were achieved in patients with mutations such as BRAF, ARID1A, and elevated TMB.

(Note: 36-year-old female with hepatic flexure colon cancer (BRAF/ARID1A mutation, MSS, slightly elevated TMB). Liver metastasis progressed after multiline therapy. Fourth-line combined biotherapy (Nivolumab+Ipilimumab ± Regorafenib) achieved PR/SD, with PFS of 15 months, showing benefit from precision biotherapy in rare genetic subtypes.)
Breakthrough Efficacy in MSS CRLM Patients
Although MSS has traditionally been considered "difficult to benefit from treatment," cases from this hospital show:

(Note: 30-year-old male with multiple liver metastases after rectal cancer surgery (MSS/pMMR, NRAS G12D). After multiline biotherapy + targeted therapy + local treatment (Sintilimab+HAIC+Bevacizumab+MWA), liver metastases approached CR/NED, demonstrating breakthrough efficacy in MSS CRLM patients.)
This research data and treatment strategies showcase Modern Cancer Hospital Guangzhou's high-level practice in multimodal integrated therapy, precision biotherapy, and complex CRLM management, holding significant reference value for ASEAN countries and international peers.
Ten-Year Data on 5582 CRLM Cases: Validating the Long-Term Value of the "Biotherapy + Minimally Invasive + MDT" Model
Promoting International Exchange and Technology Transfer: China's Minimally Invasive Cancer Treatment Goes Global

(President Fan Daiming of the Chinese Anti-Cancer Association presenting the appointment letter to Professor Ma Xiaoying)
Professor Ma Xiaoying's report at the ASEAN forum received high praise from experts and holds significant importance for cancer centers in multiple countries:
● Providing a replicable comprehensive treatment pathway for CRLM.
● Promoting the clinical application of minimally invasive interventional technologies in ASEAN, Central and South Asia, and other regions.
● Offering clinical evidence for MSS CRLM research.
● Deepening cooperation with international centers and biotherapy research.
Through this high-level sharing at the 6th ASEAN International Forum on Integrative Oncology Medicine, Modern Cancer Hospital Guangzhou not only showcased China's latest breakthroughs in the CRLM field but also, with its mature MDT to HIM integrated model, systematic minimally invasive + biotherapy pathways, and internationally recognized clinical outcomes, brought new hope to global cancer patients. It demonstrated China's solid strength and international influence in minimally invasive cancer treatment, biotherapy strategy innovation, and complex CRLM management. In the future, the hospital will continue to promote the sharing and implementation of innovative technologies in ASEAN and internationally, striving for longer-term and higher-quality survival for more CRLM patients.

Group photo with experts from various countries















